CASO DEL MESE 

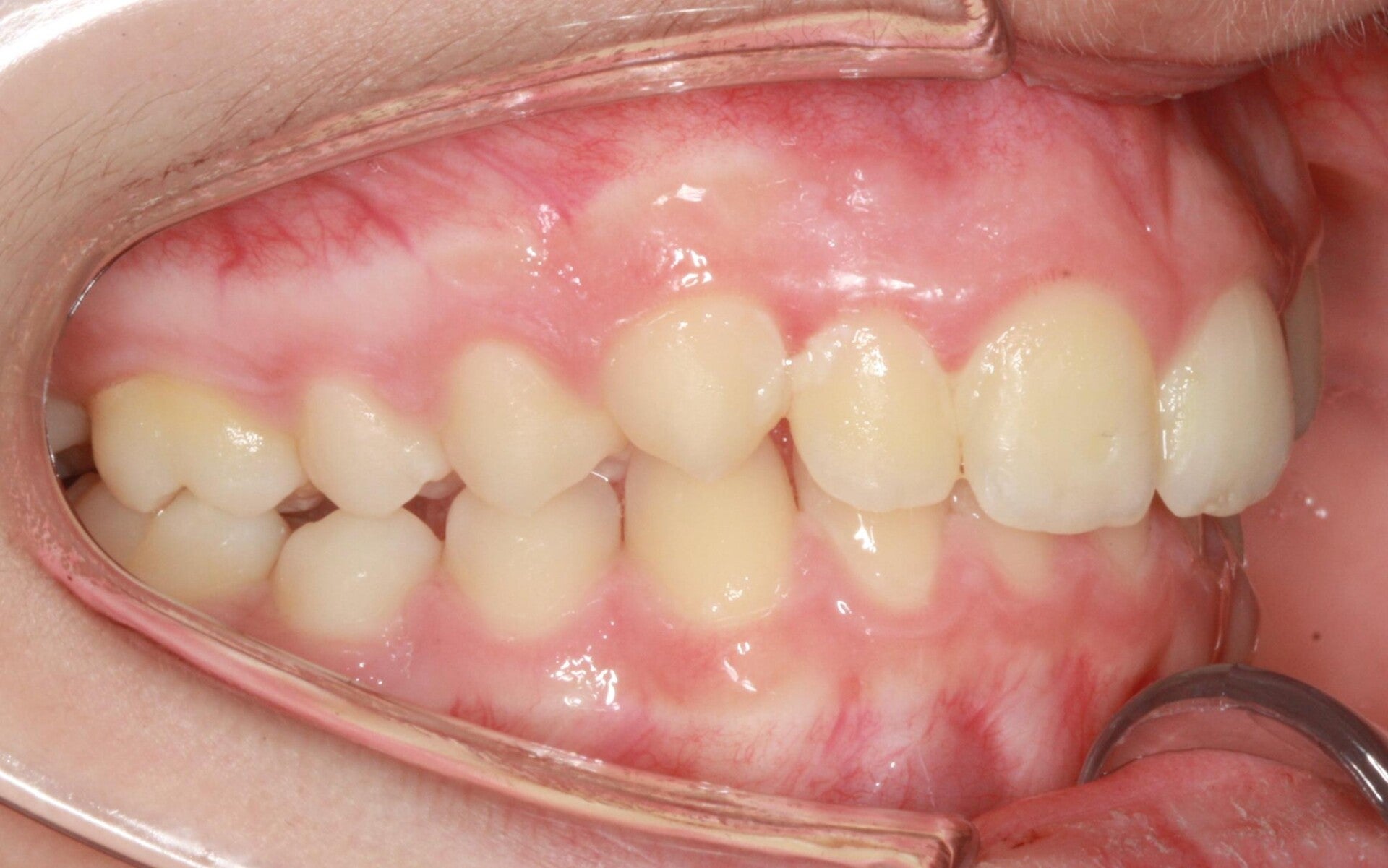
SECONDA CLASSE SUDDIVISIONE DESTRA

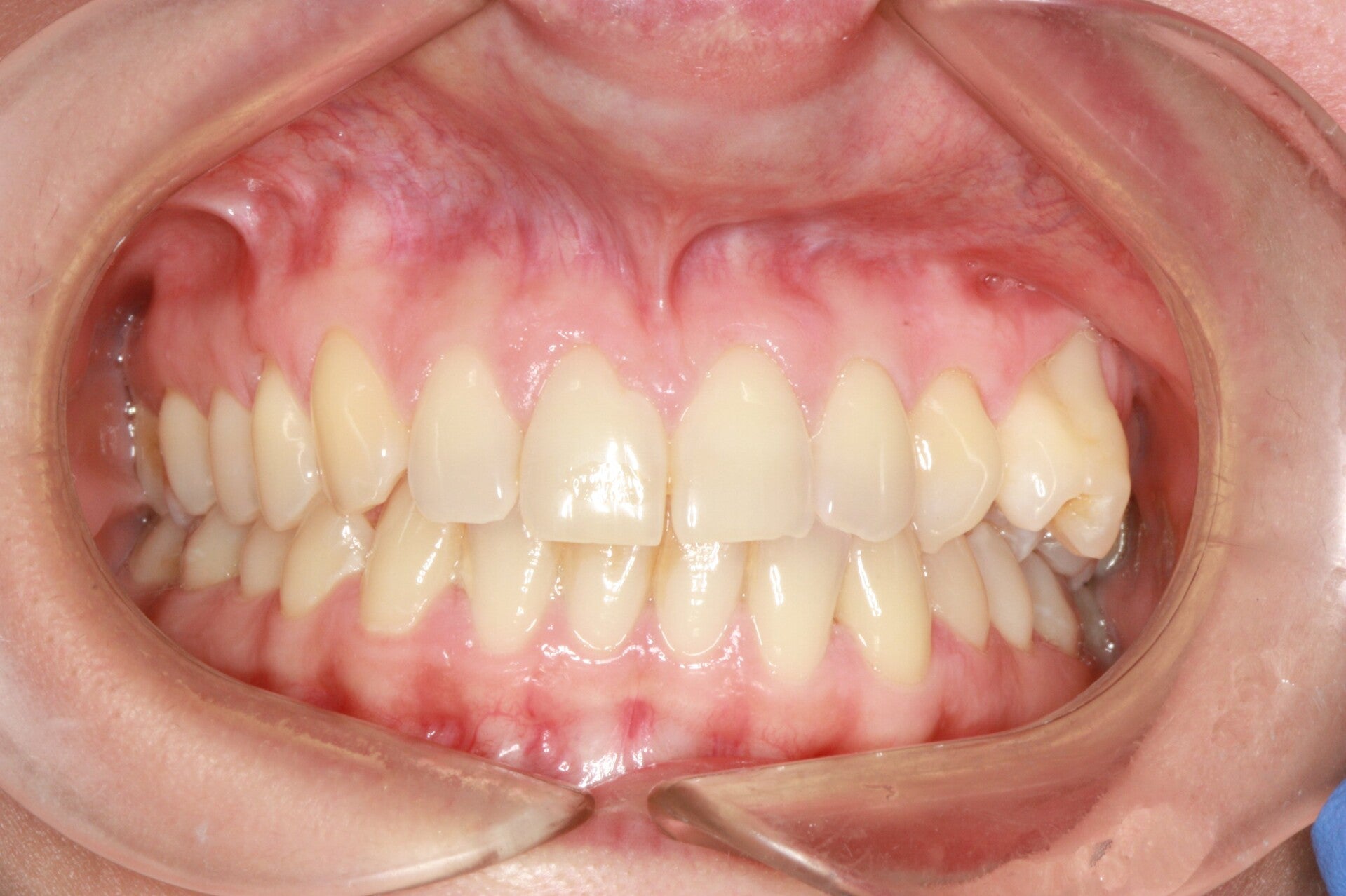
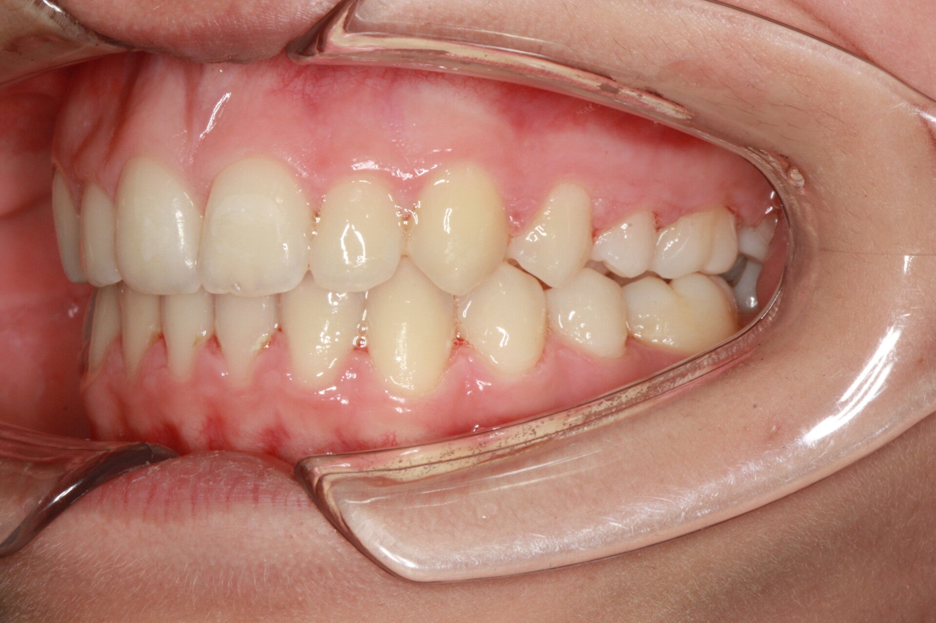
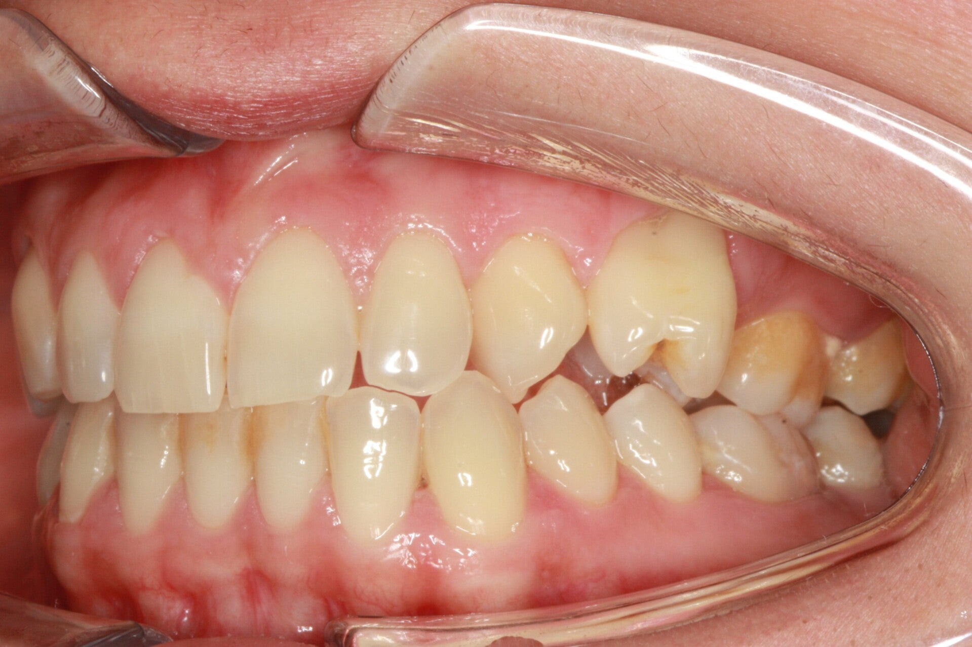
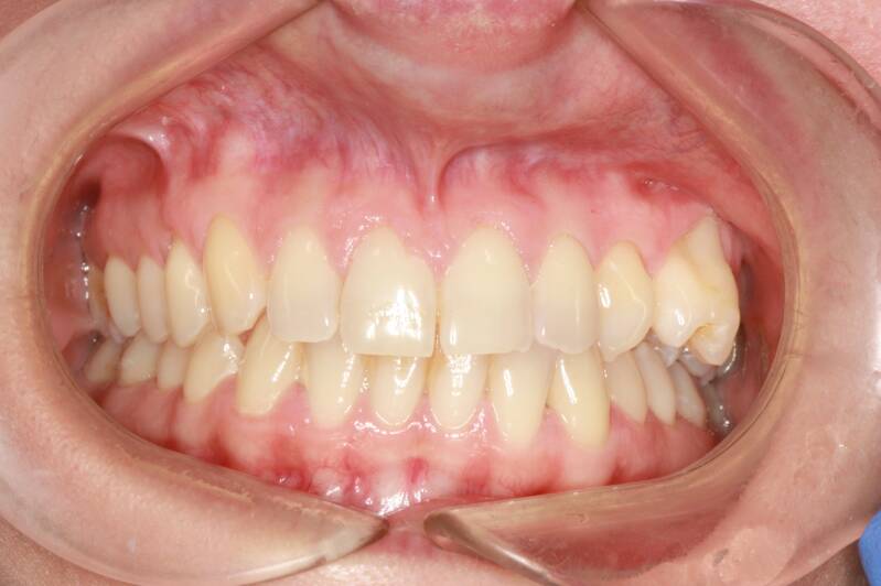
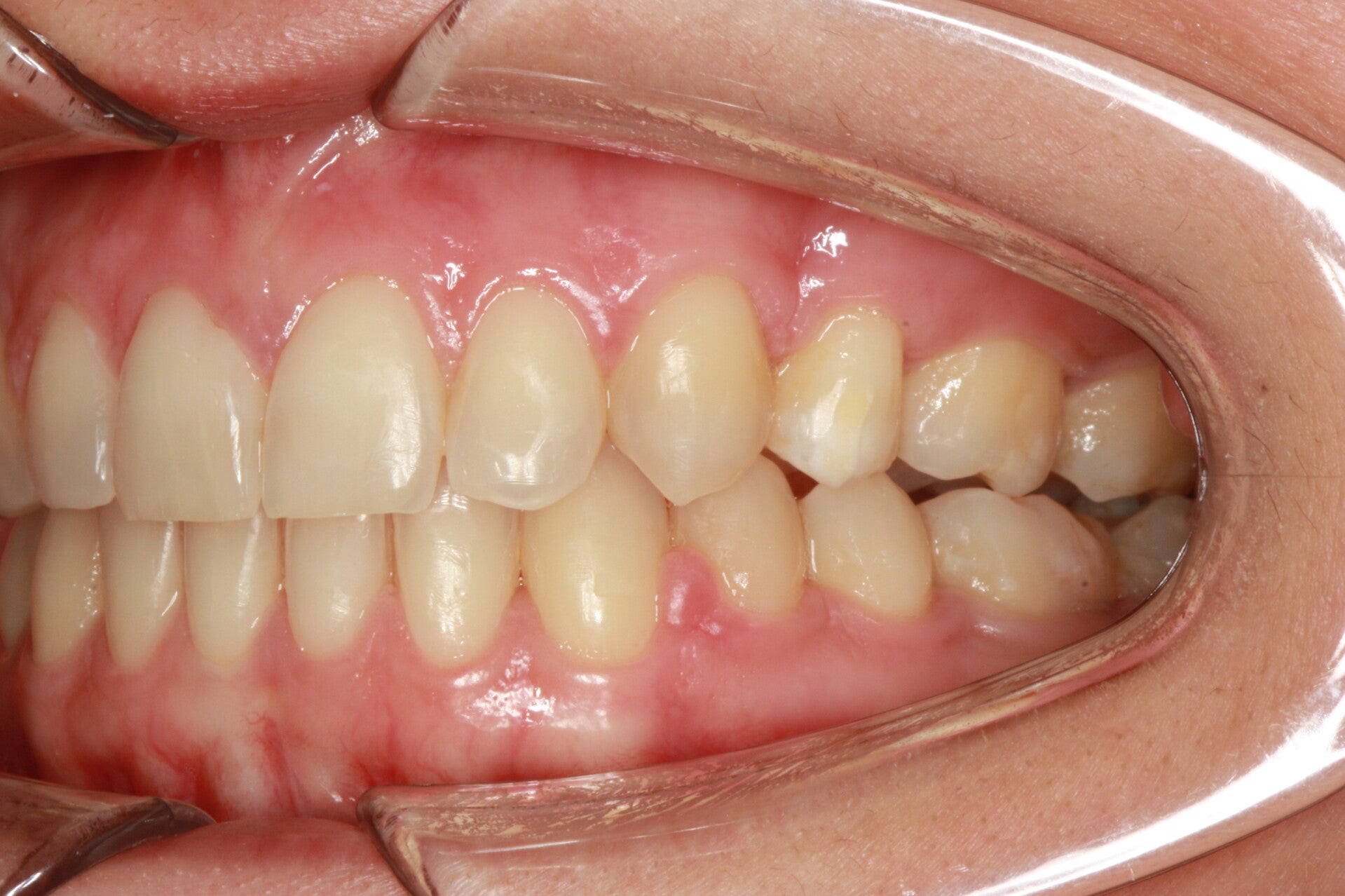
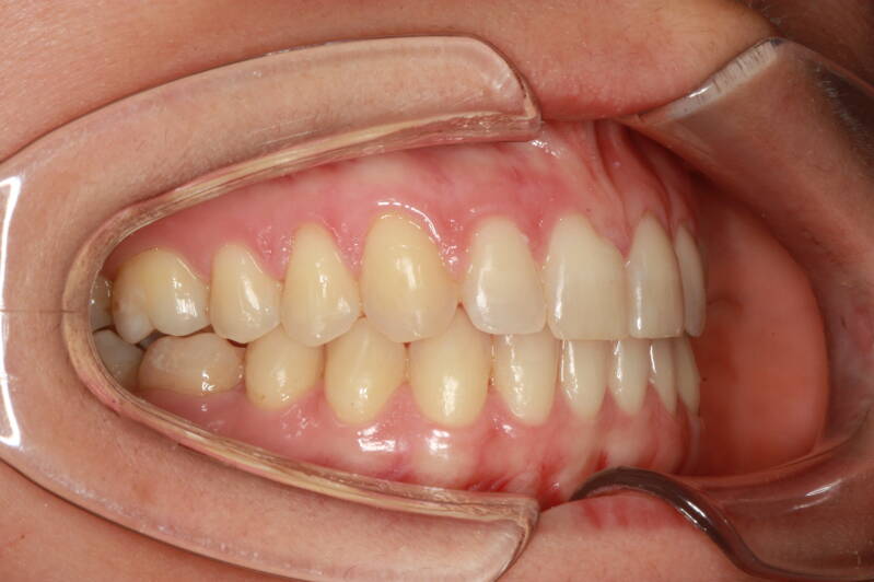
Questo mese vi presentiamo G.G. f. di15aa. Ha una seconda classe suddivisione destra molare e canina. richiesta Allineamento.

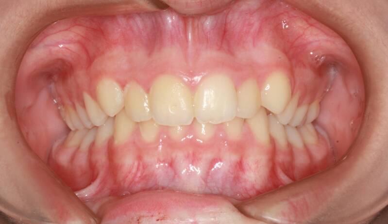
FOTO INIZIALI PRE TRATTAMENTO ORTODONTICO

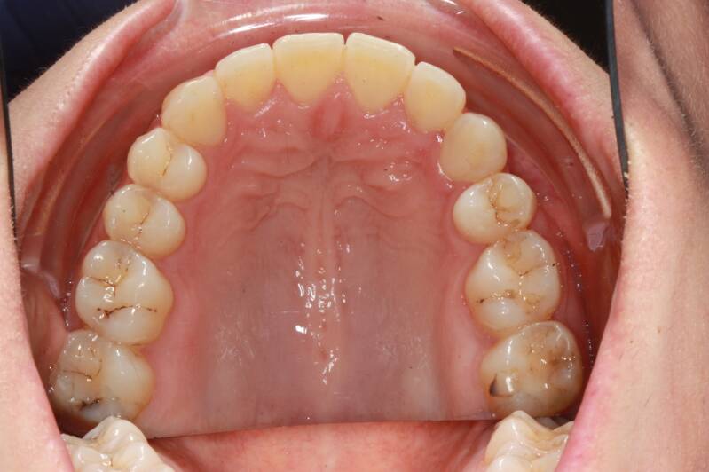
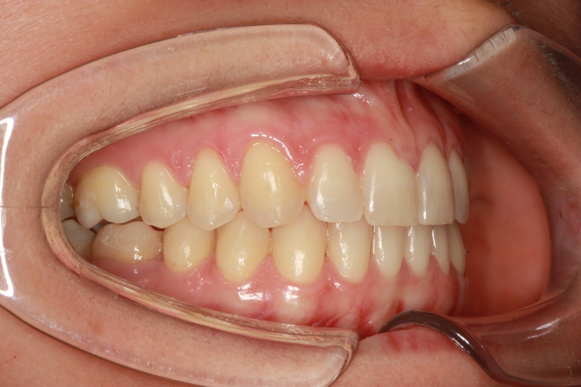
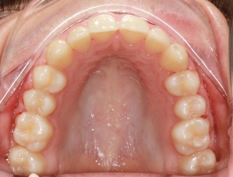
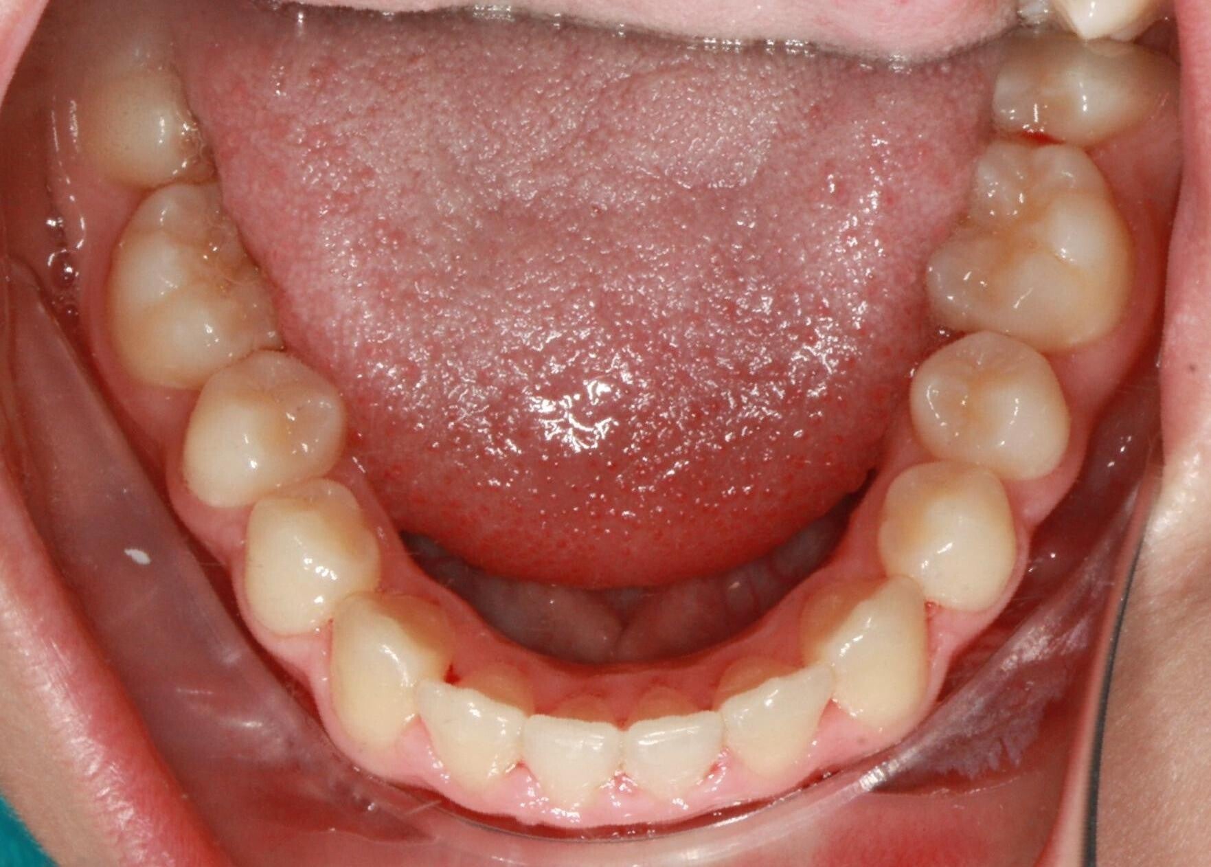
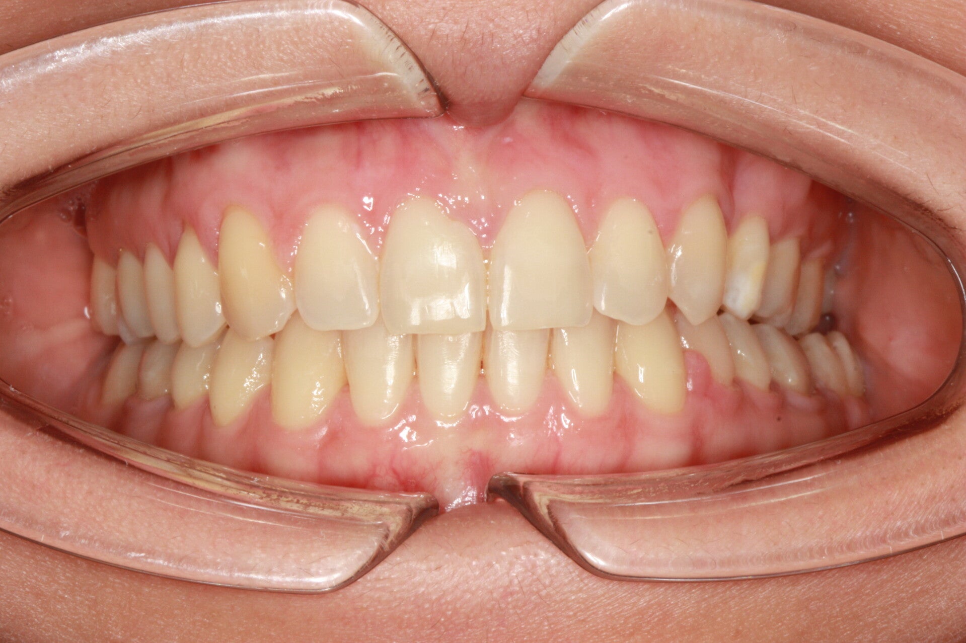
FOTO FINALI DOPO 24 MESI CIRCA DI TERAPA ORTODONTICA FISSA

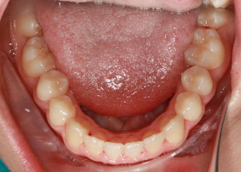
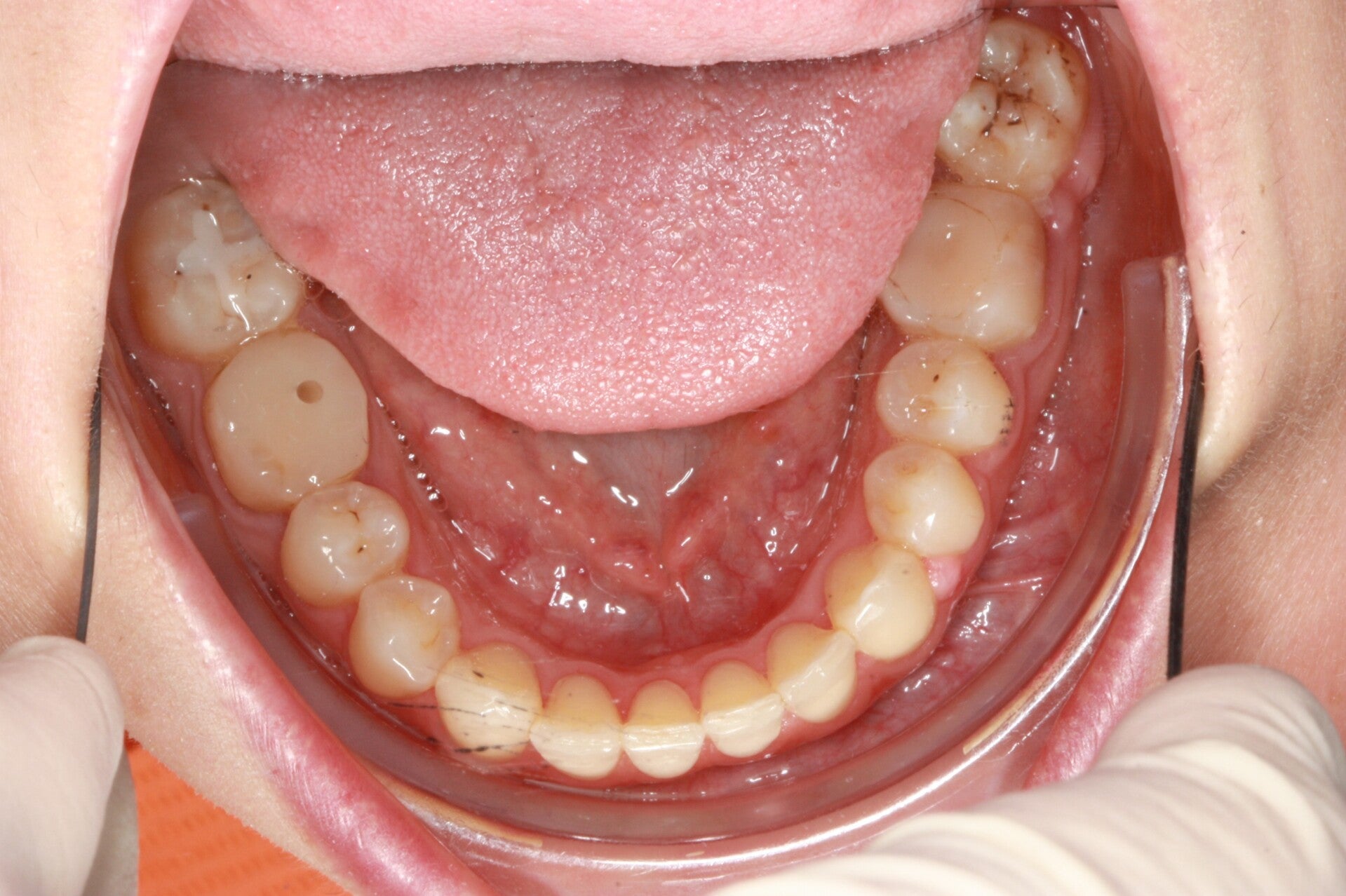
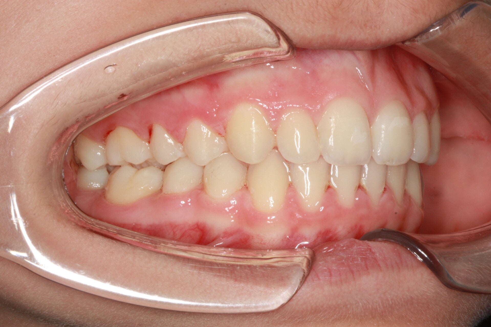
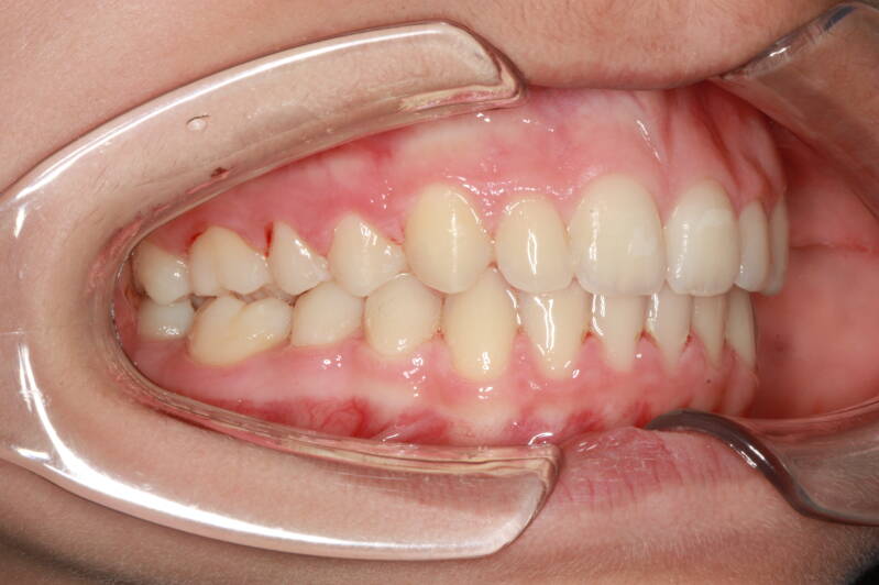
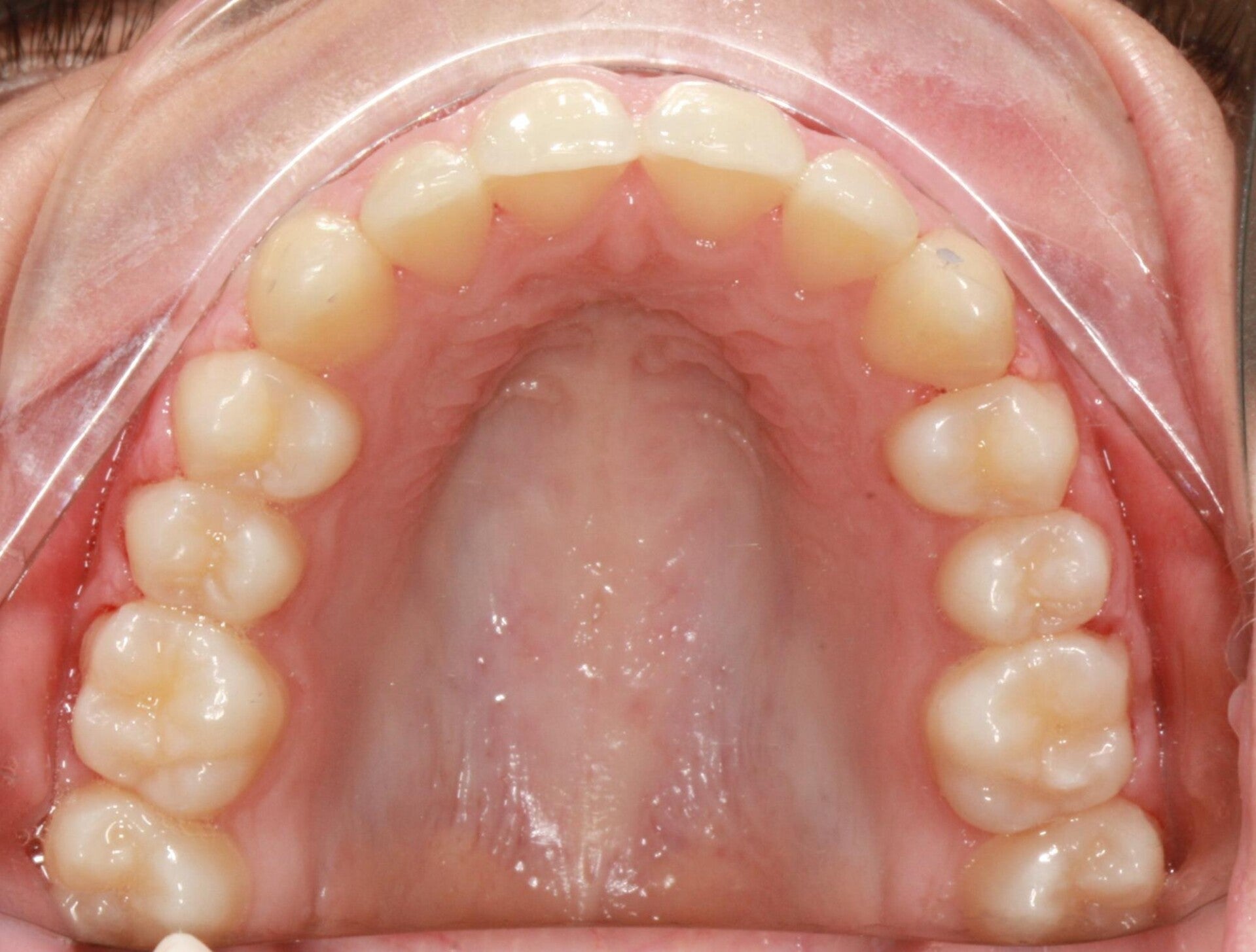
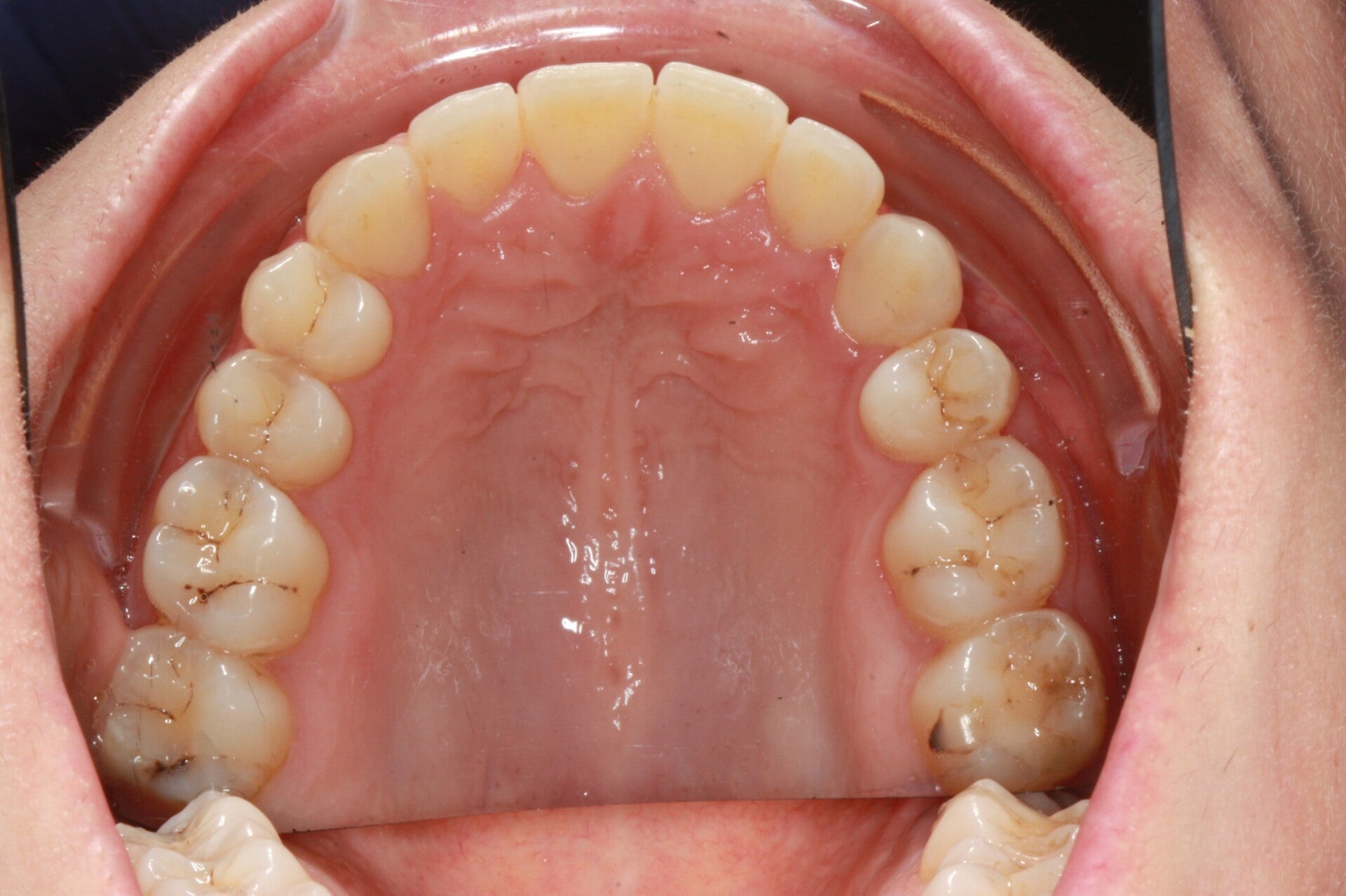
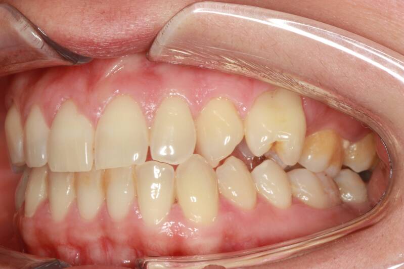
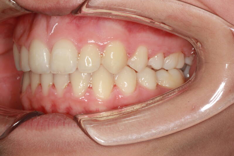
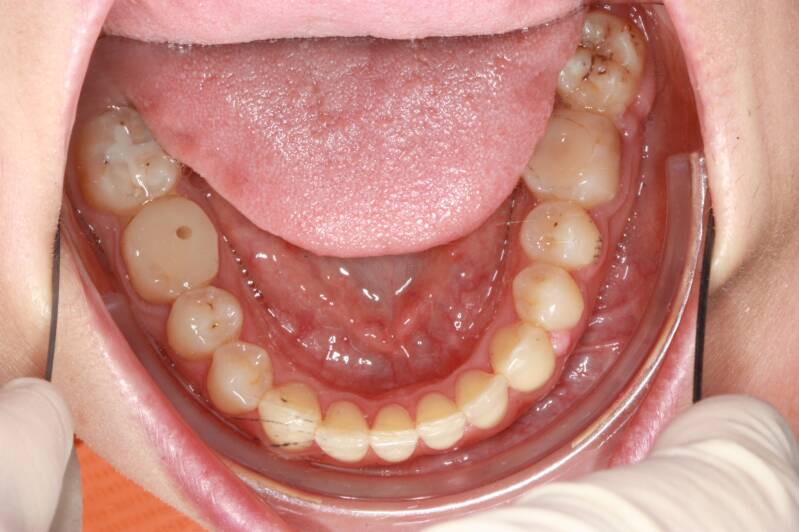
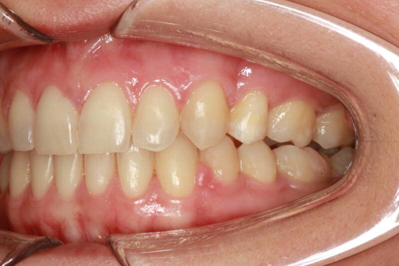
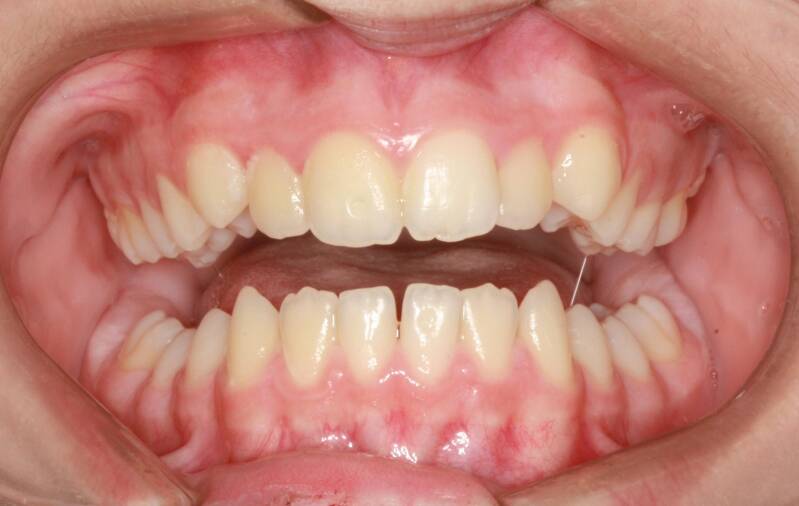
PRIMA CLASSE CON AFFOLLAMENTO GRAVE SUPERIORE A SINISTRA CON PERDITA PRECOCE DEL SECONDO MOLARE INFERIORE SINISTRO 

Abbiamo appena portato a termine questo caso che presentava in arcata superiore il primo premolare di sinistra completamente fuori arcata sovrapposto al secondo premolare ed il canino ruotato.

in arcata inferiore invece abbiamo estratto il secondo molare di sinistra perso per carie deostruente e mesializzato il terzo molare in modo da chiudere lo spazio e non ricorrere all'inserimento di protesi implantare.